Brasil tiene la oportunidad de consolidarse como un actor central en las negociaciones climáticas globales, evalúa Thelma Krug, coordinadora del Consejo Científico del evento previsto para noviembre en Belém
Un artículo publicado en la revista Nature Medicine señala el riesgo de retrocesos en investigaciones dirigidas a esta población; especialistas cuestionan nuevas normas en Brasil y en otros países
Simulaciones indican que objetos hoy indetectables, debido a su posición, podrían colisionar con el planeta en una escala de miles de años. Su observación solo será posible con misiones espaciales específicas
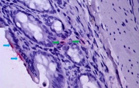
Investigadores brasileños, en colaboración con franceses, combinan tecnología avanzada de análisis de imágenes celulares con aprendizaje automático y encuentran un marcador morfológico asociado a personas que no responden al natalizumab
Para llegar a esta conclusión, investigadores en Brasil cruzaron datos obtenidos en la red local de salud pública con un indicador de variaciones en el campo geomagnético de la Tierra. El estudio fue publicado en la revista Communications Medicine
Startup paulista desarrolla un material biodegradable que se asemeja a ramas, hojas y pasto usados por las cerdas preñadas en la naturaleza para preparar el ambiente para el parto
Un estudio publicado en la revista Nature Astronomy desafía las explicaciones tradicionales sobre el origen del planeta más interno del Sistema Solar y propone un escenario más probable. La “trombada” habría arrancado hasta el 60 % de su manto original, lo que explicaría su elevada metalicidad
Un buitre recién llegado al Orquidário Municipal de Santos y una lechuza que vivía en cautiverio desde hace diez años estaban colonizados por Escherichia coli resistente a antibióticos
Estudio señala que la mayoría de los reservorios subterráneos del país perderán su capacidad de renovación, aumentando el riesgo de escasez hídrica en diversas regiones, especialmente en el Sudeste y el Sur. Una estrategia para enfrentar el problema es la “recarga manejada”, que incluye técnicas para favorecer la infiltración del agua de lluvia o incluso de aguas residuales tratadas
Según especialista vinculado al Instituto Brasileño de Geografía y Estadística, la tecnología puede reforzar desigualdades o ampliar la ciudadanía, dependiendo de cómo sea regulada; el conferencista de la 6ª Conferencia FAPESP 2025 también señala el papel positivo que puede desempeñar la inteligencia artificial
Investigadores brasileños analizaron más de 60 artículos científicos sobre el tema e identificaron que estos materiales tienen efectos negativos en el tejido óseo
El análisis de la interacción entre hormigas, plantas que secretan una sustancia azucarada para atraerlas —“interesadas” en defenderse de animales que se alimentan de sus hojas— y abejas indica que las protectoras convocadas pueden ahuyentar a las polinizadoras. En cambio, las mariposas no se incomodan
Síntesis de trabajos publicados sobre el riesgo de enfermedades emergentes indica que solo el 7.4 % incluye simultáneamente peligro, exposición y vulnerabilidad a las infecciones. Los tres componentes son esenciales para una evaluación confiable y precisa del riesgo de ocurrencia de estas dolencias en un contexto de cambios ambientales
Polvo a base de morina, extraída de la hoja de la guayaba, de la cáscara de la manzana y del higo, puede tener liberación lenta con la ayuda de polímeros y servir como alternativa a los antibióticos
Solución automatizada, desarrollada por una startup apoyada por la FAPESP, promete reducir costos operativos y eliminar pérdidas causadas por métodos tradicionales
Estudio analizó el metabolismo de los músculos de ratones sometidos a dieta hipercalórica. Al final, con el consumo del extracto de la planta, hubo un aumento en la expresión de genes asociados a la captación de glucosa y en la actividad de una enzima esencial para su metabolismo
La alianza refuerza el apoyo a la participación de investigadores del estado de São Paulo en las actividades desarrolladas por la Organización Europea para la Investigación Nuclear
Estudio realizado en ratones aporta información importante que puede ayudar en el tratamiento de la enfermedad; las confirmaciones en Brasil han aumentado en los últimos años
El incumplimiento de la ley, facilitado por errores en el lenguaje técnico utilizado en los procesos de licenciamiento ambiental, ya ha llevado a la pérdida de más de 580 mil hectáreas de vegetación nativa, de las cuales el 61 % fue convertido para uso agropecuario
Investigadores brasileños desarrollan herramienta que puede utilizarse para mejorar el bienestar animal al evaluar tambaquíes a través de la coloración de la mitad inferior del cuerpo; Brasil es el mayor productor mundial de la especie
Resultados de una investigación realizada en Brasil muestran que el delta glucémico está asociado con la magnitud del ataque cardíaco y con la pérdida de fuerza de contracción del corazón. El infarto agudo de miocardio es la principal causa de muertes en el país
Los minerales actúan como estabilizadores del carbono orgánico del suelo, evitando la liberación de gases de efecto invernadero; pero estos ecosistemas, conocidos como “bosques de carbono azul”, vienen sufriendo degradación con el cambio en el uso del suelo
La enfermedad ocupa la tercera posición entre los tipos de cáncer más frecuentes en Brasil, sin considerar los tumores de piel no melanoma. Entre un 5 % y un 10 % de los casos tienen origen hereditario
Por otro lado, cuando mantienen una rutina activa, es raro que los hijos no sigan el mismo camino, indica una investigación de la Universidade Estadual Paulista con 182 niños y adolescentes de entre 6 y 17 años; la influencia de las madres para estimular la actividad física fue más de dos veces superior a la de los padres
Una investigación con ratas mostró que una dieta materna deficiente en proteínas en esas fases conduce a alteraciones en la estructura y función del epidídimo, lo que explicaría los perjuicios en la motilidad, viabilidad y concentración espermática de la descendencia masculina
Un ensayo clínico en etapa inicial reveló que un péptido tiene potencial de convertirse en una nueva herramienta para mejorar la salud metabólica y la calidad del descanso de adultos con sobrepeso; el trabajo involucra a científicos de Brasil, Israel y Estados Unidos
Investigadores encontraron huesos de saurópodos con marcas de osteomielitis, una enfermedad infecciosa que puede ser causada por virus, bacterias, hongos o protozoos y que mató a los animales en poco tiempo. El hallazgo apunta a la existencia de condiciones favorables para la patología en la región hace unos 80 millones de años
Enfermedad desatendida, también conocida como verruga peruana y fiebre de Oroya, es causada por bacterias del género Bartonella y transmitida por el mosquito de la arena. El ADN encontrado en insectos de un área protegida en Brasil es semejante al de especies patógenas presentes en Perú. Aún no hay indicios de que la nueva bacteria cause enfermedades, pero los científicos alertan que el monitoreo debe continuar
La acumulación de estas algas en las playas puede afectar la salud, el turismo, la pesca y la biodiversidad. Generalmente su destino es la recolección y el desecho en vertederos, pero un estudio de investigadores brasileños aprovechó la biomasa para producir agregados de arcilla cerámica ligera
Obra inédita organizada por investigadoras de la Universidad Estadual Paulista y de la Universidad de São Paulo discute la influencia de las quemas en la dinámica ecológica de nueve grandes biomas de América del Sur
Una investigación con más de 2 mil brasileños revela que, mientras el desempeño en la mañana es consistentemente más bajo para todos, el turno de la tarde solo impulsa el rendimiento de alumnos con pocos o ningún síntoma de Trastorno por Déficit de Atención con Hiperactividad
El inmunizante está siendo desarrollado por investigadores de la Universidad de São Paulo y se basa en una tecnología conocida como “partículas similares al virus” (VLP, por sus siglas en inglés), que no utiliza material genético del patógeno
Una investigación realizada con ratones reveló que el virus de la COVID-19 utiliza células responsables de la producción de testosterona para replicarse, interfiriendo en el metabolismo lipídico. El hallazgo ayuda a explicar la disminución de la hormona y, posiblemente, del colesterol en pacientes con cuadros graves de la enfermedad
Levantamiento realizado en 119 regiones del mundo investigó la “diversidad faltante”, es decir, especies nativas que podrían estar presentes en el lugar, pero estaban ausentes. Los resultados fueron publicados en la revista Nature
El compuesto es cien veces más eficaz que el β-cariofileno contra la enfermedad que devastó los naranjales de Florida y amenaza a los citricultores del estado de São Paulo (Brasil), los mayores productores de naranja del mundo
Una directriz global establece un nuevo estándar para la investigación de lípidos bioactivos relacionados con la inflamación, la inmunidad, el cáncer, y las enfermedades neurodegenerativas y cardiovasculares. Cuantificarlos con precisión en muestras biológicas representa un desafío que requiere metodologías rigurosas
Normalmente descartados por aportar un sabor astringente, los granos verdosos de la variedad Arara fueron sometidos a fermentación sin aire y produjeron bebidas de alto estándar en pruebas a ciegas. Investigadores brasileños ven potencial para valorizar el producto en los mercados interno y externo
Investigadores de un centro de investigación apoyado por FAPESP lograron reducir la resistencia de Candida albicans al fungicida al incluir técnicas de inactivación fotodinámica en el tratamiento. Los resultados del estudio indican que la tecnología puede aplicarse tanto en la salud humana como en la prevención de la contaminación de alimentos.
Estudio accedió a saberes ancestrales y catalogó 175 plantas medicinales utilizadas en el tratamiento de enfermedades como parasitosis, diabetes e hipertensión. La participación de la comunidad fue central en todas las etapas
Conclusión de un estudio que evaluó datos de 4,500 personas acompañadas durante 14 años. El resultado ayuda en la práctica clínica y en la detección de pacientes en riesgo sin necesidad de exámenes complejos
Una sola especie presente en el Archipiélago de Alcatrazes, el coral cerebro, produce cerca de 170 toneladas de carbonato de calcio al año, lo que representa una retención de aproximadamente 20 toneladas de carbono en forma mineral, que puede durar siglos o milenios. Estudio de la Universidad Federal de São Paulo revela el potencial servicio ecosistémico prestado por corales subtropicales
Un equipo internacional de investigadores lanza una alerta global sobre la necesidad de incluir a los frugívoros en las estrategias de conservación, restauración forestal y mitigación del cambio climático
En ratones, los investigadores observaron que, en el período posterior al ayuno, la proliferación de células madre intestinales y la regeneración del órgano aumentan. Sin embargo, dependiendo de lo que se come y del perfil genético, esto eleva el riesgo de tumores
En un estudio con 141 pacientes, investigadores de la Universidad Federal de São Paulo y colaboradores evaluaron la eficacia de distintos modelos para predecir qué pacientes pueden beneficiarse del uso de risperidona