Parente voador dos dinossauros, o Bakiribu waridza (‘boca de pente’ na língua kariri) filtrava crustáceos e outros pequenos organismos em rios e lagos, onde provavelmente foi engolido por predador que o regurgitou na bacia do Araripe, no Nordeste do Brasil
Estudo do Laboratório de Astrobiologia da USP aponta para possível viabilidade de microrganismos ao explorar proteção ao ultravioleta fornecida por íons de ferro em água líquida
Obra apoiada pela FAPESP é fruto de iniciativa da Brazilian Soil Health Partnership, do Centro de Estudos de Carbono em Agricultura Tropical e da Fundação de Estudos Agrários Luiz de Queiroz
Alternanthera littoralis, conhecida como periquito-da-praia, é nativa do litoral brasileiro e usada tradicionalmente para combater infecções microbianas e doenças parasitárias
Trabalho também avaliou os riscos do consumo de cacau e mandioca plantados em Linhares (ES), área impactada pelo rompimento da barragem de Fundão (MG), há dez anos
Chamada com a Secretaria de Turismo e Viagens do Estado de São Paulo vai fomentar o desenvolvimento do setor com foco em inovação, sustentabilidade e empregabilidade
Estratégia formulada por pesquisadores do ICMC-USP, em parceria com o Inpe, define os pesos de cada fator de contribuição objetivamente e foi validada com base nos inventários de deslizamento de São Sebastião, no litoral norte de São Paulo
Estudo da Unifesp descreve de forma inédita como o SARS-CoV-2 interage com o RNA das células pulmonares infectadas; resultados podem orientar a busca por novos tratamentos e vacinas
Registro inédito de caça ao peixe-jaguar foi realizado após fortes chuvas, quando água doce transbordou para a baía do Sueste, área de alimentação da espécie
Em palestra apresentada no evento FAPESP Day Uruguay, o professor da USP Pedro Brancalion apresentou resultados de projeto que visa alavancar o mercado de crédito de carbono no país
Com base em dados de 7.065 brasileiros com mais de 50 anos, pesquisadores da UFSCar defendem mudanças na nota de corte do teste usado para avaliar a força muscular, de forma a identificar a doença mais precocemente
Em testes realizados em laboratório, o sistema funcionou de forma estável durante 120 horas; protótipo também foi verificado ao ar livre e manteve a mesma eficiência
Grupo internacional de cientistas vislumbra agora a busca de um fármaco que induza o estado em que funções fisiológicas e metabólicas são reduzidas ao extremo, o que poderia favorecer novos tratamentos para AVC e até mesmo auxiliar astronautas em longas viagens espaciais
Ocupado por humanos há pelo menos 13 mil anos, o território amazônico abrigou uma população da ordem de 10 milhões de pessoas, que construíram cidades, domesticaram plantas e produziram biodiversidade
Criado com apoio da FAPESP, Bionabio é um espaço digital que vai receber dados e amostras de animais de todo o país e pode ajudar na prevenção de surtos e epidemias
São Paulo precisa impulsionar o processo de substituição gradual de combustíveis fósseis por fontes de energia renováveis no Brasil, apontou Gilberto Jannuzzi em conferência promovida pela FAPESP para discutir os caminhos para o país pós-COP30
Na abertura da Escola Interdisciplinar FAPESP 2025: Humanidades, Ciências Sociais e Artes, Marco Antonio Zago ressaltou que essa trajetória começou há mais de cem anos
Material integra o Observatório da Saúde Paulista. Entre os registros estão relatórios técnicos, planos de ação, correspondências, convênios institucionais e mensagens de governo
Centro de Ciência para o Desenvolvimento Sustentabilidade e Inovação em Infraestrutura Rodoviária terá financiamento da FAPESP de R$ 7,7 milhões e 42 bolsistas para aplicar novos materiais e soluções na reciclagem de pavimentos
Trabalho realizado na Unicamp utilizou solventes ambientalmente amigáveis e ondas ultrassônicas para remover substâncias – usadas em alimentos, cosméticos e suplementos por causa de seus efeitos benéficos à saúde – e aumentar sua absorção pelo organismo
Edital prevê R$ 15 milhões para apoio a projetos que desenvolvam inovações na gestão pública em temas como arquitetura de sistemas, inclusão digital e serviços de saúde e assistência social
Helena Bonciani Nader, Lucia Helena Mascaro Sales e Dácio Roberto Matheus foram escolhidos pelas instituições de ensino superior e de pesquisa do Estado de São Paulo
Oportunidade com ANII vai financiar intercâmbio de pesquisadores visitantes com vistas à preparação de propostas multilaterais para o edital do Belmont Forum sobre biodiversidade e sustentabilidade marinhas
Foi o que apontou artigo de revisão publicado por pesquisadores da Unesp; segundo os autores, porém, ainda não há consenso sobre os reais impactos do ciclo menstrual, da perimenopausa e da menopausa porque parte dos estudos adota metodologia inadequada
O game Eli e a Queda do Céu em território Yanomami transforma o pensamento do xamã e ativista Davi Kopenawa em ferramenta de alfabetização e educação ambiental; obra foi produzida por grupo da UFSCar
Em reunião com a FAPESP, representantes do governo e de centros de pesquisa de universidades alemãs buscaram informações sobre avanços nas pesquisas na área e modalidades de apoio
Pesquisa realizada com quase 1.500 brasileiros verificou características pessoais que podem colaborar para que o comer saudável se torne um processo tão rígido que leva à ansiedade, ao isolamento social e até a desequilíbrios nutricionais
Enquanto o Morumbi registrou média de 30 °C entre dezembro de 2024 e fevereiro de 2025, na favela de Paraisópolis, sua vizinha, o calor em superfícies chegou a 45 °C; mapeamento é do CEFAVELA, um centro apoiado pela FAPESP
Invólucros reforçados com nanopartículas podem ser preenchidos com diversas formulações de produtos granulados necessários para as plantações, versatilidade que facilita a aplicação pela agroindústria
Estudo realizado na Unicamp e na Universidade de York altera geneticamente parasitas para que brilhem, permitindo o rastreamento de moléculas capazes de combatê-los
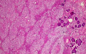
Descoberta aumentou de 13 para 90 o número de variações conhecidas da proteína HER2, alvo de medicamentos avançados contra a doença; diversidade pode explicar resistência a terapias
“Oyapock, o rio que une: línguas e conhecimentos indígenas além das fronteiras” é uma iniciativa do Centro de Documentação de Línguas e Culturas Indígenas e acontece entre amanhã e sexta-feira
Estudo confirma que a simbiose entre fungo e alga que dissolve rochas e estava distribuída amplamente pela Terra 410 milhões de anos atrás ajudou a formar os primeiros solos
Tema foi tratado pelo cientista Esper Cavalheiro em conferência na Escola Interdisciplinar FAPESP 2025. Ele criticou a enorme pressão pela publicação de artigos, que valoriza a quantidade e não a qualidade. E disse que a IA é um poderoso instrumento, tanto para a descoberta quanto para a decepção
Em pouco mais de três anos, são quase 2 mil pesquisadores envolvidos em 61 projetos, que mobilizaram 8.700 atores locais; nova chamada de propostas será feita em 2026
Estudo conduzido no Laboratório Nacional de Biorrenováveis aponta que conversão de pouco mais de 30% do total de 100 milhões de hectares de pastos degradados no país em lavouras de culturas energéticas pode ter impacto global na meta de transição energética estabelecida na COP30