Digital Amazon, uma iniciativa do RCGI, um Centro de Pesquisa Aplicada da FAPESP, unifica informações de satélites, torres e sensores, permitindo análises aprofundadas sobre emissões e absorções de CO2
Parceria da Fundação com a Organização Neerlandesa para a Pesquisa Científica tem como objetivo fomentar estudos que permitam a conversão sustentável de matérias-primas de base biológica em blocos de construção químicos para uso industrial
Os dois bolsistas atuarão na área de comunicação, contribuindo na difusão dos resultados de pesquisa para fortalecer a interação entre a universidade e a sociedade
Uma das duas vagas é para trabalhar com estudo sobre a estrutura e dinâmica da fábrica viral formada em A. castellanii durante o ciclo de infecção por Tupanvirus e Niemeyervirus
Também conhecidas como hidrocorais, quatro espécies presentes no país, três delas endêmicas, foram historicamente negligenciadas em monitoramentos de recifes. Pesquisadores relatam a morte de 100% das colônias monitoradas de uma das espécies estudadas
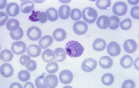
Testes realizados em cultura celular e em roedores sugerem que nova molécula atua em todas as fases do ciclo da doença, sendo eficaz contra o Plasmodium vivax e o P. falciparum
Iniciativa busca fortalecer a excelência científica da universidade e ampliar a produção de conhecimento interdisciplinar sobre os desafios contemporâneos urbanos e regionais
Bolsista trabalhará em projeto que propõe uma abordagem com modelos de difusão, conhecimento físico de radar e técnicas avançadas de aprendizado por transferência
Análises conduzidas por pesquisadores da UFSCar mostraram que condição pode ser facilmente revertida por meio de estímulos e estratégias simples, o que reforça a necessidade de programas voltados para essa população
Publicação gratuita foi elaborada com a participação do Centro de Pesquisa e Inovação em Saúde Mental (CISM), um dos Centros de Pesquisa Aplicada financiados pela FAPESP
Programação contará com um café da manhã e uma roda de conversa com a participação de professora, diretora de inovação e alunas de doutorado e graduação
Análises realizadas em material biológico de seis espécies migratórias e uma residente do Brasil indicam concentrações similares de alguns dos chamados poluentes orgânicos persistentes (POPs), incluindo o DDT e o formicida Mirex
Solução atende três cenários críticos: acompanhamento de idosos e doentes crônicos em ambiente domiciliar, pacientes que saem de procedimentos médicos ou cirúrgicos com novo esquema terapêutico e monitoramento de medicamentos de alto custo